Implant Essentials
Back
Dental Implants
Full-Mouth Dental Implants
Implant Cost & Affordability
Implant Maintenance
Cosmetic Dentistry
Back
Smile Makeovers
Porcelain Veneers
Invisalign®
Teeth Whitening
Additional Services
Back
Family Dentistry
Dentures
Root Canals
Oral Surgery
CEREC® Same-Day Crowns
Full Mouth Reconstruction
Dental Emergencies
Sedation Dentistry
For Our Patients
Back
New Patient Forms
Insurance & Financing
Patient Stories
Conditions We Treat
Blog
Our Practice
Back
About Us
Dr. Abdullah Tikreeti
Video Library
Contact Us
Back
Schedule Today
Contact Us
Directions
Call Us
New Patient
Current Patient
Close
Before & After Photos - Alexandria, VA
The Proof Is
In Our Patients
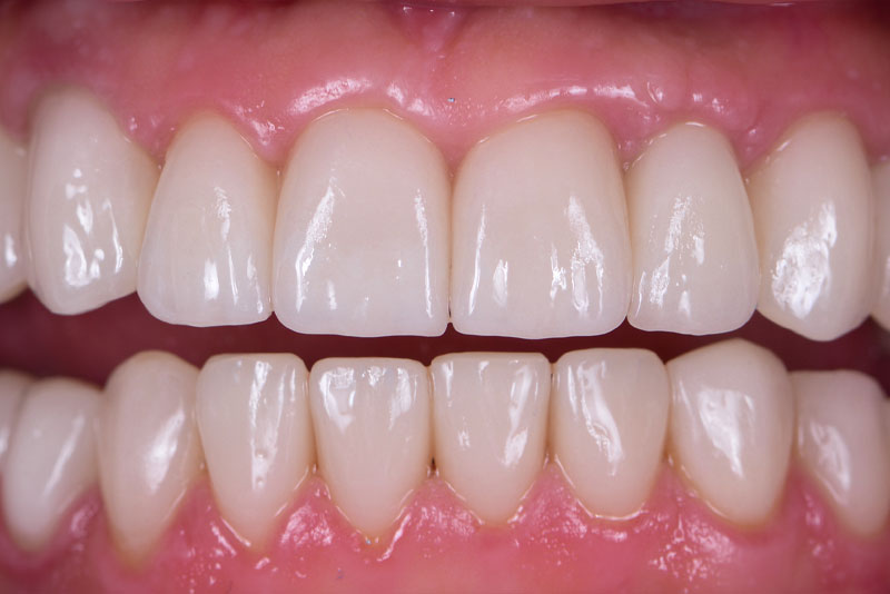
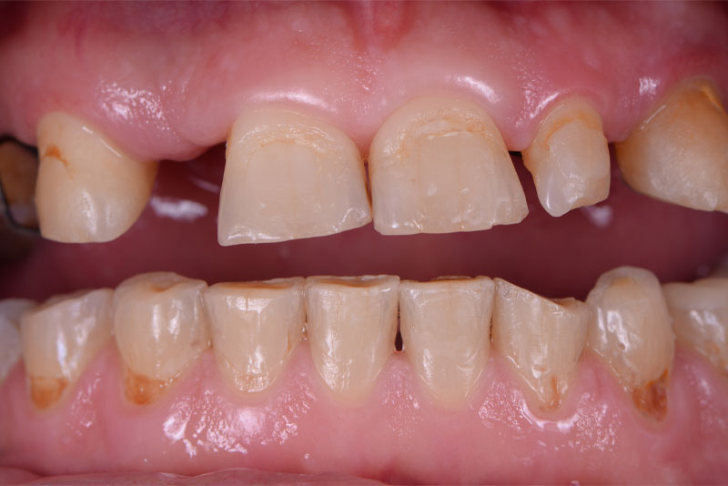
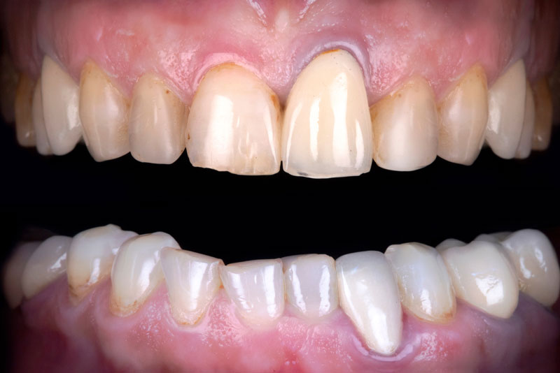
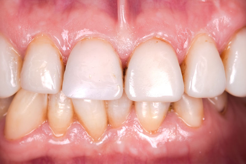
Before & After Photos
All
Dental Implants
Porcelain Veneers
Teeth Whitening
Before
After
Before
After
Before
After
Before
After